
Fuchs disease: Fuchs Endothelial Corneal Dystrophy
Fuchs Endothelial Corneal Dystrophy (FECD) is one of the most common corneal endothelial disorders encountered in optometry and ophthalmology practice. It is a slowly progressive, inherited corneal dystrophy that affects the innermost layer of the cornea, leading to corneal edema and gradual visual deterioration.
Understanding Fuchs disease is essential for early diagnosis, proper patient counseling, and safe management—especially before cataract surgery.

What Is Fuchs Endothelial Corneal Dystrophy?
Fuchs endothelial corneal dystrophy is a bilateral, non-inflammatory corneal dystrophy characterized by progressive loss of corneal endothelial cells. These cells are responsible for maintaining corneal dehydration and transparency.
As endothelial cells degenerate, the cornea becomes unable to pump out excess fluid, resulting in corneal swelling, clouding, and reduced vision.
Easy-to-Rank Keywords Used
- Fuchs endothelial corneal dystrophy
- Fuchs dystrophy symptoms
- Fuchs disease of the eye
- Endothelial corneal dystrophy
- Corneal guttae
- Fuchs dystrophy treatment
Causes of Fuchs Endothelial Corneal Dystrophy
Fuchs dystrophy is primarily genetic, most often inherited in an autosomal dominant pattern with variable expression. However, not all patients with the gene develop significant disease.
The main pathological features include:
- Progressive endothelial cell loss
- Thickening of Descemet’s membrane
- Formation of corneal guttae
- Impaired endothelial pump function
Environmental and surgical stress (such as cataract surgery) may accelerate progression.
Who Is Most Commonly Affected?
- Typically presents after 40–50 years of age
- More common in women
- Usually affects both eyes, though asymmetrically
- Early-onset forms are rare but genetically proven
Symptoms of Fuchs Dystrophy
Early Symptoms
- Blurred vision on waking (morning blur)
- Vision improves as the day progresses
- Mild glare or light sensitivity
Progressive Symptoms
- Persistent cloudy or hazy vision
- Glare and halos around lights
- Reduced contrast sensitivity
- Difficulty with night driving
Advanced Disease
- Painful epithelial bullae
- Foreign body sensation
- Marked visual impairment
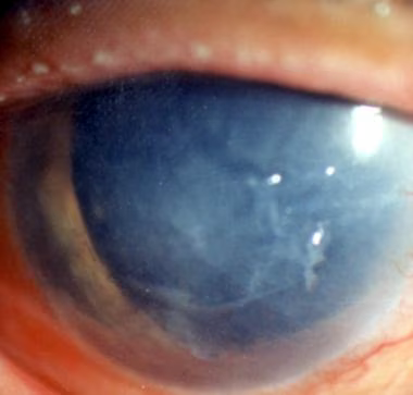
Clinical Signs Seen by Optometrists
On slit-lamp examination, optometrists may observe:
- Corneal guttae on Descemet’s membrane
- Endothelial cell pleomorphism and polymegathism
- Increased corneal thickness
- Stromal and epithelial edema in advanced stages
How Is Fuchs Dystrophy Diagnosed?
Diagnosis is based on clinical examination and supportive investigations:
- Slit-lamp biomicroscopy – to identify guttae
- Specular microscopy – endothelial cell density and morphology
- Pachymetry – increased corneal thickness
- Corneal tomography – to assess edema and structural changes
Treatment of Fuchs Endothelial Corneal Dystrophy
Non-Surgical Management
Used in early to moderate disease:
- Hypertonic saline eye drops or ointment (5% NaCl)
- Lubricating eye drops
- Hair-dryer technique (to reduce morning edema)
- Careful monitoring
Surgical Management
Indicated in advanced disease:
- DMEK (Descemet Membrane Endothelial Keratoplasty)
- DSAEK (Descemet Stripping Automated Endothelial Keratoplasty)
- Penetrating keratoplasty (rarely required today)
Endothelial keratoplasty offers excellent visual outcomes.
Importance of FECD in Cataract Surgery
Fuchs dystrophy is highly relevant in pre-operative cataract assessment. Reduced endothelial reserve increases the risk of post-operative corneal decompensation.
Combined or staged cataract and endothelial surgery may be required.
Frequently Asked Questions (FAQ) on Fuchs Dystrophy
What is Fuchs disease of the eye?
Fuchs disease is another name for Fuchs endothelial corneal dystrophy, a condition where endothelial cells slowly fail, leading to corneal swelling and blurred vision.
Is Fuchs dystrophy painful?
Early stages are painless. Pain occurs in advanced disease when corneal bullae rupture, causing epithelial breakdown.
Why is vision worse in the morning in Fuchs dystrophy?
During sleep, reduced evaporation causes fluid buildup in the cornea. As the day progresses, evaporation increases and vision temporarily improves.
Is Fuchs dystrophy curable?
There is no medical cure. However, endothelial keratoplasty effectively restores vision in advanced cases.
Can Fuchs dystrophy cause blindness?
Severe untreated cases can lead to significant visual impairment, but modern surgical treatments usually prevent blindness.
Can contact lenses be worn in Fuchs dystrophy?
Soft lenses may worsen hypoxia. In some cases, bandage contact lenses are used for pain relief under supervision.
Does everyone with guttae have Fuchs dystrophy?
No. Isolated guttae can occur with aging. Fuchs dystrophy involves progressive endothelial dysfunction.
Is Fuchs dystrophy hereditary?
Yes. It often runs in families, though severity varies widely.
Key Takeaway for Students and Clinicians
Fuchs endothelial corneal dystrophy is a progressive endothelial disorder that must be identified early. Optometrists play a vital role in diagnosis, monitoring, patient education, and timely referral—especially before intraocular surgery.
References (Authoritative Sources)
- Mayo Clinic – Fuchs Dystrophy
https://www.mayoclinic.org/diseases-conditions/fuchs-dystrophy - American Academy of Ophthalmology (AAO)
https://www.aao.org - StatPearls – Fuchs Endothelial Corneal Dystrophy
https://www.ncbi.nlm.nih.gov/books/NBK545248/ - College of Optometrists Clinical Guidelines
https://www.college-optometrists.org - Kanski & Bowling – Clinical Ophthalmology (Textbook Reference)